O AVC hemorrágico ou hemorragia cerebral é um do tipo grave de AVC (Acidente Vascular Cerebral) em que ocorre sangramento dentro do crânio. Também é conhecido como derrame cerebral, hemorragia intraparenquimatosa e hemorragia subaracnoide.
O AVC pode ser de dois tipos: isquêmico e hemorrágico. No AVC isquêmico, um coágulo ou trombo interrompe a chegada de sangue para parte do cérebro e leva à morte de neurônios – você pode ler mais sobre AVC isquêmico em nosso artigo sobre AVC. No AVC hemorrágico, ocorre extravasamento de sangue dentro ou ao redor do cérebro por rompimento de vasos sanguíneos.
Nesse artigo vamos falar sobre o AVC hemorrágico, que corresponde a apenas 15% de todos os AVCs, mas é a sua forma mais grave, que causa sequelas e morte em muitos casos. Os 85% restantes correspondem ao AVC isquêmico.
O que é AVC hemorrágico?
O AVC hemorrágico é o extravasamento de sangue causado pelo rompimento dos vasos sanguíneos do cérebro – artérias ou veias – que lesiona tecido cerebral, desloca e comprime as estruturas dentro do crânio, provoca inflamação e inchaço do cérebro.
Como vimos, corresponde a cerca de 15 a 20% de todos os AVCs, mas é um tipo de AVC que tem maior gravidade e chance de morte. A grande maioria acontece por causas que poderiam ser tratáveis.
Tipos de AVC hemorrágico
Dependendo da localização do sangue, o AVC hemorrágico (AVCH) pode ser dividido em dois tipos diferentes:
- Hemorragia intraparenquimatosa ou hemorragia intracerebral: é o tipo mais frequente de AVC hemorrágico, que acontece quando o extravasamento de sangue ocorre no meio do cérebro, formando um hematoma que aumenta a pressão intracraniana e afeta a função das áreas cerebrais vizinhas. É principalmente sobre esse tipo que falaremos neste artigo.
- Hemorragia subaracnóide: nesse tipo de AVC hemorrágico, a hemorragia acontece entre o cérebro e as meninges (membranas que o recobrem). A causa mais importante de hemorragia subaracnóide é o rompimento de aneurismas cerebrais. Já falamos sobre ela em outro artigo que você pode ler aqui.

Sintomas do AVC hemorrágico
Os sintomas do AVC hemorrágico são muito parecidos com os do AVC isquêmico. A característica mais importante é que eles começam de repente. Em um minuto a pessoa está bem e no minuto seguinte está com os sintomas.Os principais sintomas são:
- Fraqueza de um lado do corpo
- Formigamento ou dormência de um lado do corpo
- Alteração de fala (fala enrolada), dificuldade de encontrar palavras ou compreender (afasia)
- Fraqueza da face, com desvio da boca para um dos lados
- Dificuldade para engolir
- Alteração visual (perda de visão em metade do campo visual) ou visão dupla
- Dificuldade em coordenar algum dos membros
- Alteração de equilíbrio e dificuldade para ficar de pé ou andar
- Náuseas e vômitos repentinos
- Confusão mental
- Dor de cabeça muito intensa, muitas vezes descrita como “a maior dor da vida”
- Sonolência intensa ou perda da consciência (coma)
- Crise convulsiva

Como é uma emergência médica que precisa ser tratada rapidamente, quem tem qualquer um deve buscar um hospital com a maior rapidez possível. Quanto mais rápido for o diagnóstico e o tratamento, maiores são as chances de recuperação e menor é o risco de sequelas.
Causas
Dividimos as causas de hemorragia intracerebral entre primárias e secundárias.
As hemorragias cerebrais primárias são aquelas que acontecem devido à doença dos pequenos vasos cerebrais ao longo do tempo. Representam 80% dos casos, dos quais mais de 80% são por causa da hipertensão. O restante acontece devido a uma condição chamada angiopatia amiloide cerebral.
As causas secundárias de AVC hemorrágico são as doenças que têm hemorragia cerebral como uma de suas manifestações, como alterações vasculares, tumores, doenças sistêmicas, etc. Veremos mais sobre elas na sequência.
Hipertensão

A pressão alta ao longo dos anos leva a modificações nos pequenos vasos do cérebro, que predispõem a isquemias e hemorragias. Chamamos esse processo de lipohialinose, que resulta em doença de pequenos vasos cerebrais ou microangiopatia.
Em algum momento, às vezes em um pico de pressão mais alta, um desses pequenos vasos se rompe e causa a hemorragia cerebral. Ao chegar no hospital, costumamos observar que os pacientes estão com a pressão muito alta e de difícil controle.
Como a pressão alta é a principal causa de AVC hemorrágico, seu tratamento correto é também uma importante forma de prevenir.
Angiopatia Amiloide Cerebral
A angiopatia amiloide cerebral é outra forma de doença dos pequenos vasos cerebrais que pode levar a hemorragias.
Nesse caso, proteínas anormais chamadas de beta amiloide se depositam nas paredes das pequenas artérias próximas à superfície cerebral.
Esses vasos ficam enfraquecidos, com maior risco de vários tipos de sangramentos, desde microsangramentos (“microbleeds”), siderose cortical (sangramentos na superfície do cérebro) e hemorragias maiores ou lobares. Em alguns casos, os pacientes também podem ter demência.

Controlar a pressão adequadamente também ajuda a diminuir o risco de hemorragia cerebral por angiopatia amiloide cerebral
Alterações dos Vasos Sanguíneos
Trombose Venosa Cerebral
Trombose venosa cerebral (TVC) é uma doença causada pela formação de coágulos ou trombos nas veias do cérebro. A presença desses trombos dificulta a saída de sangue do cérebro e leva ao aumento da pressão intracraniana, com risco hemorragia cerebral, entre outras consequências graves
Malformações arteriovenosas
Malformações arteriovenosas (MAV) são emaranhados de vasos sanguíneos defeituosos que comunicam artérias e veias. Esses vasos são frágeis e podem romper, causando hemorragia intraparenquimatosa.
Aneurismas Cerebrais
Os aneurismas cerebrais são dilatações anormais das artérias que levam sangue para o cérebro. Quando rompem geralmente causam a hemorragia subaracnoide, mas também podem causar hematoma intraparenquimatoso.
Cavernomas
Os cavernomas ou angiomas cavernosos são aglomerados de vasos sanguíneos defeituosos que ficam em formato de cachos. Podem não provocar sintomas durante a vida toda, mas são causa de hemorragia cerebral em alguns casos.
Fístulas arteriovenosas
Fístulas arteriovenosas (FAV) e fístulas arteriovenosas durais (FAVD) são comunicações entre o sistema arterial, que leva sangue para o cérebro, e o sistema venoso, que drena o sangue cerebral. Nesses lesões, o sangue arterial chega sobre grande pressão no sistema venoso, que provoca dilatação dos vasos e pode causar seu rompimento, com hemorragia cerebral.
Outras Causas de AVC hemorrágico
Além das causas que já citamos, muitas outras condições podem levar ao AVC hemorrágico, como:
- Transformação hemorrágica do AVC isquêmico
- Alterações da coagulação, como uso de anticoagulantes, hemofilia, plaquetopenia (plaquetas baixas), entre outros.
- Tumores intracranianos
- Endocardite Infecciosa
- Síndrome da Encefalopatia Posterior Reversível (PRES)
- Doenças inflamatórias dos vasos, como vasculites
Diagnóstico
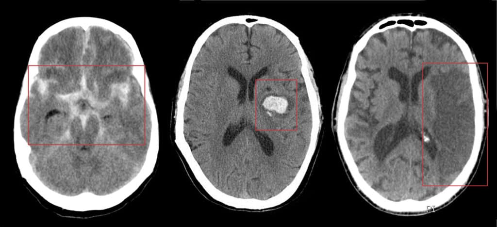
O diagnóstico do AVC hemorrágico é baseado na história clínica, nos sintomas, no exame neurológico e em exames de imagem, como tomografia computadorizada ou ressonância magnética do crânio.
Como os sintomas do AVC isquêmico e do AVC hemorrágico são muitos parecidos, só o exame de imagem permite diferenciar os dois, além de permitir ver o local e a extensão do sangramento.

É também umas das informações que o neurologista especialista em AVC usa para identificar a provável causa.
Depois de confirmado o diagnóstico de AVCH, é importante definir a causa do sangramento, pois o tratamento pode mudar. Para isso, outros exames podem ser indicados, como:
- Ressonância de crânio
- Angioressonância arterial de crânio
- Angioressonância venosa de crânio
- Angiotomografia de crânio
- Angiografia cerebral
Exames de sangue e outros exames complementares, como punção lombar, eletrocardiograma e ecocardiograma também podem ser feitos para avaliar as causas do AVC hemorrágico e as doenças associadas.
Tratamentos do AVC hemorrágico
O tratamento do AVC hemorrágico visa controlar o sangramento, reduzir a pressão intracraniana, prevenir complicações e minimizar os danos cerebrais.
Lembre-se que AVC é sempre emergência. Sempre que suspeitar que alguém está tendo um AVC, deve levar rapidamente para um hospital ou chamar uma ambulância.
Logo ao chegar ao hospital, os primeiros passos são garantir a estabilidade do paciente e realizar uma tomografia de crânio o mais rapidamente possível.
Nesse momento, controlar a pressão arterial de maneira agressiva (que costuma estar muito alta) é fundamental, além de corrigir eventuais alterações nos exames, tratar crises convulsivas e outras complicações que possam acontecer.
Pacientes muito sonolentos ou em coma podem precisar de sondas para alimentação e/ou entubação par proteger a respiração.
Alguns casos podem precisar de cirurgias:
- Drenagem do hematoma: retirado do sangramento através de uma abertura no crânio
- Derivação ventricular: colocação de um dreno para diminuir o tamanho dos ventrículos (espaços dentro do crânio que geralmente contêm líquido) que estão aumentados em alguns casos de hemorragia intraventricular
- Craniectomia descompressiva: retirada de parte do osso do crânio para evitar que o inchaço do cérebro piore o quadro
Mesmo quando o sangue não é drenado por cirurgia, é absorvido pelo corpo em alguns dias a semanas.
Outros medicamentos e procedimentos podem ser indicados de acordo com a causa da hemorragia, como tratamentos para reverter anticoagulantes, cirurgia ou embolização de aneurismas, tratamento de outras alterações dos vasos, etc.
Todos os casos devem ser internados, geralmente na Unidade de Terapia Intensiva (UTI) na fase mais aguda. A reabilitação neurológica, com fisioterapia, fonoaudiologia e terapia ocupacional, conforme cada caso, deve ser iniciada o mais precocemente possível e também faz parte do tratamento e da prevenção de sequelas.
Como é a recuperação do AVC hemorrágico
O AVC hemorrágico é uma doença muito séria. Nos casos mais graves, a mortalidade estimada em 30 dias pode se aproximar de 100%. Mesmo nos quadros leves, uma grande proporção dos sobreviventes permanece com algum tipo de limitação. Por isso é tão importante controlar os fatores de risco e prevenir.
O processo de recuperação se inicia já no hospital, como acompanhamento de equipe multidisciplinar, e pode continuar por meses. Exige paciência e dedicação do paciente e dos cuidadores. Algumas adaptações realizadas em casa e o uso dispositivos como muletas e órteses podem ajudar no processo e prevenir complicações.
É importante o retorno gradual, conforme possível, às rotinas que o paciente tinha antes e ao convívio social, com familiares e amigos.
Sequelas
O AVC hemorrágico pode levar a danos cerebrais permanentes. Enquanto alguns sintomas podem melhorar, o grau de recuperação após um AVCH é variável e depende de vários fatores.
Os paciente podem apresentar diversas sequelas, como:
- Dificuldade para andar
- Paralisia de um lado do corpo
- Alterações de sensibilidade
- Alterações de equilíbrio
- Problemas de memória
- Alterações da fala
- Dificuldades em compreender e realizar tarefas do dia a dia
- Alterações de comportamento
- Depressão
- Epilepsia
- Estado vegetativo e coma
Fatores de Risco e Prevenção do AVC hemorrágico
O AVC hemorrágico é uma condição muito grave e que pode deixar sequelas permanentes. Além do risco de recorrência do AVCH, o risco de AVC isquêmico também é importante nesses pacientes. Prevenir é o melhor caminho e pode ser feito ao evitar ou tratar os fatores de risco modificáveis, como:
- Controlar a pressão arterial
- Praticar atividade física regularmente
- Evitar bebidas alcoólicas em excesso e uso de outra drogas
- Controlar o peso
- Não fumar
- Controlar o diabetes
- Tratar apneia do sono
Alguns fatores de risco são chamados não modificáveis porque são características próprias da pessoa, como:
- Idade avançada: o risco aumenta com a idade
- História familiar de AVC hemorrágico
- Etnia: hispânicos e negros tem maior risco
- Sexo: homens tem maior risco.
Mesmo nesses casos, o acompanhamento médico regular pode ajudar e evitar a hemorragia cerebral.
Fontes:
Intracerebral Haemorrhage – Nature Reviews
Stroke.org.uk


10 comentários em “AVC Hemorrágico”
Gostei muito dos esclarecimentos
Médicos especializados em AVC (angiopatia amiloide )no Grande ABC.Gratidão!
eu sou uma prova viva tive o AVC emoragico nací de novo glória a Deus
A minha mãe está no 8º dia pós-AVCH.
E não tem sido fácil vê-la no estado em que se encontra.
Gostei de ler o seu texto. deu-me esperança.
Tem alguma sequela?
Eu Sofri um AVC hemorrágico há quatro anos e graças a Deus não fiquei com sequelas!Vivo minha vida normalmente!Deus é maravilhoso!
gostei muito de entender o que tive
Muito obrigado pelas informações. Infelizmente, por falta de informações como as que estão neste post, a maioria da população “peca” nos cuidados preventivos ou não tem ideia do que esperar, após uma condição de AVC.
gostei muito do esclarecimento, e entender o que está acontecendo com meu pai hoje 😭
eu sofri um avc hemorrarhivo a 3 nos.
faço fisioterapias ddesde entao.
já voltei a andar? porém a mão sinda nao funciona.
meu lado esquerdo ficou afetado.
gostei das orientações.
gratidão.
Tive um AVC Hemoragico, porem sobrevivi tinha 41anos na epoca e do que eu li apenas uma sequela que e a dificuldade de andar tenho a visao com sinais de veias e nao enxergo como antes. sobrevivi ao avc com todos os movimentos do corpo e posso ser tratado como uma anomalia da medicina porem ja tem uns meses que minha visao e andar esta do mesmo jeito e ja convivi com pessoas que tiveram avc e se recuperaram. To a quase 1 ano doente e estou buscando quanto tempo ainda posso ficar assim.