Quando os aneurismas cerebrais rompem, causam a hemorragia subaranoide aneurismática, que é uma emergência médica. É um tipo de AVC hemorrágico que é causado pela ruptura de um aneurisma cerebral. É uma doença muito grave e que pode ser fatal em mais da metade dos casos.
Já falamos sobre o que é aneurisma cerebral e quais as suas causas. Nesse artigo, vamos discutir o que acontece após o rompimento de um aneurisma.
- O que é hemorragia subaracnoide?
- Quem pode ter hemorragia subaracnoide aneurismática
- Por que os aneurismas rompem?
- Como saber se um aneurisma cerebral vai romper
- Quais os sintomas da ruptura do aneurisma cerebral
- Como diagnosticar a hemorragia subaracnóidea
- Consequências da ruptura do aneurisma
- Tratamento da Hemorragia Subaracnoide
- Como é a recuperação após um aneurisma roto
O que é hemorragia subaracnoide?
Hemorragia subaracnoide (HSA) é um sangramento localizado ao redor do cérebro, em que sangue se acumula abaixo da meninge aracnóide, uma das membranas que protege o cérebro e onde ficam os vasos sanguíneos. Daí o nome subaracnoide, ou seja, abaixo da aracnóide.

A causa mais comum é traumática. Do restante, 85% são causadas por rupturas de aneurismas.
Nesses casos, é uma condição gravíssima e imprevisível, que deve ser reconhecida rapidamente e tratada como emergência.
Quem pode ter hemorragia subaracnoide aneurismática
A HSA pode acontecer com qualquer um mas algumas pessoas estão sob maior risco, como:
- Quem tem história de aneurisma não roto ou familiares com aneurisma
- Quem já teve aneurisma que rompeu antes.
- Fumantes
- Hipertensos
- Portadores de displasia fibromuscular, síndrome de Ehlers-Danlos e outras doenças do tecido conjuntivo
- Pacientes com doença renal policística
- Usuários de cocaína
- Quem consome álcool em excesso
Leia mais: Causas de Aneurisma Cerebral
Por que os aneurismas rompem?
A parede dos aneurismas é mais frágil que a dos vasos normais. Com o seu crescimento, pontos mais fracos podem romper e sangrar.
O rompimento de um aneurisma cerebral pode ser devido a muitas causas diferentes.
No entanto, sabemos que os principais fatores associados à ruptura de um aneurisma são hipertensão (pressão alta) e hábito de fumar.
Também sabemos que as mulheres são mais afetadas que os homens e a principal idade de ruptura de aneurisma é entre os 40 e 65 anos. Familiares de quem já teve hemorragia subaracnóidea aneurismática tem chance até 7 vezes maior de ter um aneurisma roto.
Em um indivíduos, esses fatores de risco se somam, ou seja, quanto mais fatores, maior a chance de um aneurisma romper.
Como saber se um aneurisma cerebral vai romper
Embora seja impossível prever a ruptura dos aneurismas cerebrais, existem certas características que ajudam na avaliação de um paciente com aneurisma e podem indicar maior risco de hemorragia subaracnóidea.
Esses fatores são muito importantes na decisão do tratamento antes de o aneurisma romper.
Tamanho e forma do aneurisma
Tradicionalmente considera-se que aneurismas pequenos, menores que 7mm, têm menor chance de romper em comparação com os maiores. No entanto, é preciso ter cuidado com essa informação já que observamos que uma parte considerável de hemorragias subaracnoides são causadas por aneurismas pequenos.
Assim, o tamanho não deve ser considerado isoladamente para avaliar o risco de ruptura do aneurisma.
Por outro lado, a altura dos aneurismas e a relação do seu tamanho com o tamanho do vaso de onde se originam foram identificados como preditores do risco de ruptura, conforme mostrado por um estudo que avaliou várias características morfológicas dos aneurismas para identificar os que têm maior risco de romper.
Localização do aneurisma
Aneurismas localizados na artéria basilar, junto à artéria comunicante posterior ou no complexo da artéria comunicante anterior apresentam chance de ruptura maior comparados aos aneurismas de outras localizações.
Realce na parede do aneurisma
Técnicas mais modernas de ressonância magnética permitem avaliar as características da parede dos vasos e dos aneurismas. Por meio dessas técnicas, estudos recentes têm mostrado que o realce ao contraste na parede do aneurisma indica inflamação nessa localização e maior risco de romper.
Essa informação é especialmente importante na avaliação de aneurismas pequenos, pois ajuda a indicar os que precisam de tratamento urgente.
História de aneurisma roto
Pessoas ou familiares de quem já teve um aneurisma que rompeu também tem maior chance de hemorragia subaracnóidea.
Quais os sintomas da ruptura do aneurisma cerebral
Quando um aneurisma se rompe, o principal sintoma é uma dor de cabeça muito forte. Essa dor é muitas vezes considerada “a maior dor de cabeça da vida”. É chamada de cefaleia em trovoada.
Dor de cabeça muito forte e que atinge intensidade máxima em segundos é sinal de alarme para ruptura de aneurisma e outras doenças graves. Ela acontece em 70% dos pacientes que tem hemorragia por aneurisma cerebral roto.
Dependendo da localização e da gravidade do sangramento, outros sintomas podem ser:
- perda de consciência
- sonolência excessiva e incontrolável
- convulsões
- náuseas e vômitos
- rigidez no pescoço
- fraqueza e/ou perda de sensibilidade de um lado do corpo
- confusão mental
- dificuldade de fala
- visão dupla, incômodo com luz
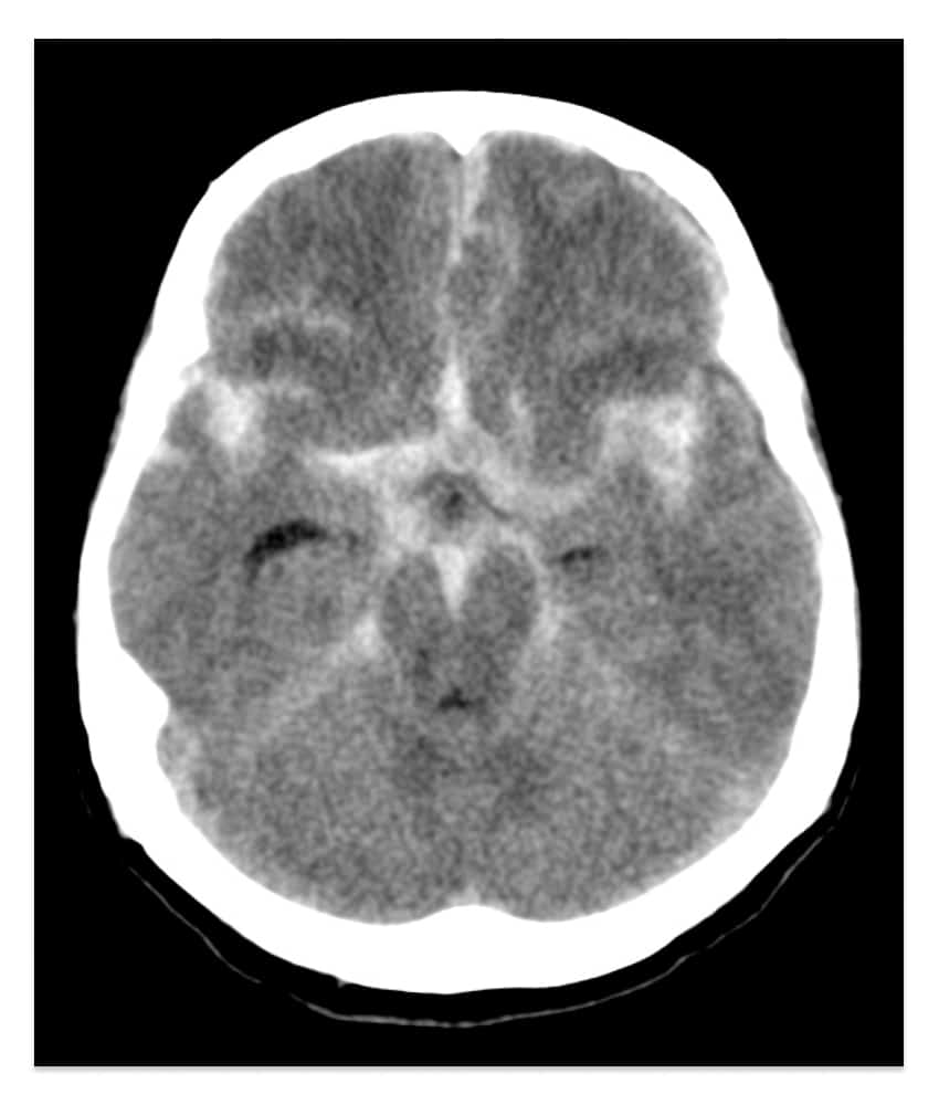
Como diagnosticar a hemorragia subaracnóidea
A hemorragia subaracnóidea é facilmente diagnosticada por uma tomografia de crânio (TC) sem contraste na maioria dos casos.

Até 99% dos pacientes que fazem o exame nas primeiras 6 horas da hemorragia, têm o diagnóstico confirmado pela tomografia. Nos raros casos em que o sangue não pôde ser identificado, uma punção lombar para coleta de líquido cefalorraquidiano pode identificar presença de sangue.
Após diagnosticar que houve sangramento subaracnoide, o próximo passo é procurar pelo aneurisma, o que pode ser feito por angiotomografia de crânio (angioTC) ou angiografia cerebral.

A ressonância e a angioressonância são exames alternativos para detectar a hemorragia subaracnoide e o aneurisma, mas, como são exames mais demorados, não são tão utilizados nessa situação.
Consequências da ruptura do aneurisma
Além de causar sangramento no local, o rompimento de um aneurisma cerebral leva a uma série de consequências em todo o corpo.
Normalmente, o espaço subacnoide é preenchido pelo líquido cefalorraquidiano (líquor), que serve para nutrir, amortecer e carregar as impurezas do cérebro. O sangramento do aneurisma ocupa este espaço e pode atrapalhar a livre circulação e absorção do líquor.
O acúmulo de líquor aumenta a pressão intracraniana e pode causar hidrocefalia.
A hemorragia por aneurisma também provoca uma reação inflamatória que irrita a parede das artérias cerebrais, causando seu estreitamento, num processo conhecido como vasoespasmo.

Os vasos estreitados dificultam a chegada de sangue com oxigênio e nutrientes aos neurônios. Nos casos mais graves, o vasoespasmo causa isquemia cerebral, com dano cerebral permanente e piora importante do quadro inicial.
A reação inflamatória e o hematoma também podem levar a edema cerebral, com aumento da pressão intracraniana, herniação (quando o cérebro é deslocado para outra região através de um orifício) e morte.
Tratamento da Hemorragia Subaracnoide
Como uma emergência médica, toda pessoa com suspeita de que um aneurisma tenha se rompido e causado hemorragia subaracnóidea deve ser levado rapidamente ao hospital para iniciar seu tratamento.
Inicialmente, o tratamento começa pela estabilização clínica. Ou seja, garantir que as vias aéreas estejam protegidas, a pressão esteja boa e que qualquer complicação imediata seja tratada.
Após esses passos iniciais e a confirmação do diagnóstico de HSA por meio de exames de imagem, a etapa mais importante é tratar o aneurisma. Caso contrário, há risco de ressangramento, o que piora muito o quadro.
A oclusão do aneurisma roto pode ser alcançada de duas formas diferentes: tratamento endovascular ou cirurgia aberta.
A escolha da melhor forma de tratamento depende de vários fatores, incluindo a localização do aneurisma, a condição clínica do paciente, perfil de risco e a experiência do serviço em cada técnica. O expertise de um neurologista especialista em aneurisma cerebral é muito importante nessa etapa.
Um grande estudo chamado ISAT (International Subarachnoid Aneurysm Trial), investigou pacientes com HSA que foram tratados com microcirurgia ou com embolização. Seus resultados iniciais e os de longo prazo evidenciaram maior chance de independência daqueles que foram tratados por embolização.
Embolização: tratamento endovascular do aneurisma cerebral roto

Considerada a primeira opção na maioria dos casos, a embolização consiste em um procedimento realizado pelo neurorradiologista intervencionista por dentro das artérias para ocluir o aneurisma.
Nessa técnica, cateteres são avançados através de uma punção na virilha até a origem do aneurisma. Em seguida, pequenas espirais metálicas destacáveis – conhecidas como molas – são liberadas.

O aneurisma é inteiramente preenchido por essas molas, que impedem que o sangue entre no aneurisma e elimina o risco de novo sangramento.
Cirurgia aberta para clipagem de aneurisma cerebral roto

No tratamento cirúrgico, uma craniotomia (abertura na pele e no crânio) é realizada para permitir acesso até o aneurisma.
Após localizar o aneurisma, clipes metálicos são liberados junto à sua origem para impedir a chegada de sangue para o seu interior.
Outros tratamentos para hemorragia subaracnóidea
Além de garantir que o aneurisma não volte a sangrar, o paciente com hemorragia subaracnóidea precisa de uma abordagem multidisciplinar para evitar a tratar complicações.
O tratamento da hemorragia subaracnóidea pode incluir:
- cirurgias para drenar o hematoma
- derivação do ventrículo em caso de hidrocefalia
- medicamentos para prevenir vasoespasmo e isquemia
- analgésicos
- sedativos
- anticonvulsivantes
- medicamentos para corrigir distúrbios de eletrólitos, infecções, etc
Como é a recuperação após um aneurisma roto
A hemorragia subaracnoide é uma doença muito grave. Até 50% dos pacientes não resistem até a chegada ao hospital. A internação tende a ser prolongada, inicialmente em UTI e depois em leito de transição até a alta.
Mesmo com os avanços no tratamento, um terço dos pacientes falecem durante a internação, um terço volta ao normal e um terço vive com alguma dificuldade após a ruptura do aneurisma.
O prognóstico depende da gravidade do sangramento, das comorbidades e da presença de complicações.
Durante a internação, as principais complicações são o vasoespasmo e a hidrocefalia, como já vimos. Além disso, infecções são frequentes.
Os pacientes podem evoluir com epilepsia, problemas de memória e concentração, transtornos de humor como depressão, fraqueza ou dormência em parte do corpo, dificuldades para engolir ou de equilíbrio.
Reabilitação com fisioterapia, fonoaudiologia, terapia ocupacional e psicoterapia são importantes para reduzir as consequências da doença.
O acompanhamento médico com neurologista também é essencial. Pacientes que sobreviveram a HSA têm risco aumentado de novo evento e devem ser investigados e acompanhados. Algumas das consequências da hemorragia também podem ser manejadas com medicamentos.
Fontes:


4 comentários em “Hemorragia Subaracnoide: o que acontece quando aneurismas cerebrais rompem”
Minha esposa 37 anos teve HSA, foi igual os sintomas descrito aqui. Foi um milagre de Deus ela ter sobrevivido, assim como ter saído sem nenhuma sequela. [edited]
ooooo glória André que Deus proteja sempre.
Eu ja passei por 2 cirurgias pelo SUS para clipagem de 5 aneurismas cerebral multiplos abrindo minha cabeça dos dois lados,em 2010 e ainda restam 2 aneurismas e mesmo hipertensa,graças à Deus sem os traumas …q neurocirurgioes diziam ser impossível!
Minha esposa de 46 anos está internada a 28 dias. Teve um HSA e a complicação do vasoespasmo. Ela está sem ventilação mecânica e oxigênio, respondendo a estimulos, sentando na cama com o auxílio da fisioterapeuta. Os médicos dizem que ela está se recuperando bem. Está com traqueostomia e com pouca mobilidade no braço esquerdo.