Você sabia que existe um tipo especial de AVC que afeta principalmente mulheres jovens? A trombose venosa cerebral é uma doença grave causada pela formação de trombos nas veias cerebrais e acomete principalmente mulheres jovens, mas também pode acontecer em homens e pessoas mais velhas.
Por ser uma doença rara com sintomas comuns, o diagnóstico pode demorar a ser feito, o que atrasa o tratamento e diminui as chances de recuperação e cura.
Nesse artigo, falamos sobre o que é a trombose cerebral, quais suas causas, seus sintomas, como é o diagnóstico e sobre a importância de tratar rapidamente para evitar maior gravidade.
- O que é Trombose Venosa Cerebral?
- Qual a causa da trombose venosa cerebral?
- Quais são os sintomas da trombose venosa cerebral?
- Diagnóstico de trombose venosa cerebral
- Tratamento da trombose venosa cerebral
- Quais as sequelas e como é a recuperação da trombose cerebral?
- Investigação das Causas e Prevenção da Trombose Venosa Cerebral
O que é Trombose Venosa Cerebral?
Trombose venosa cerebral (TVC) é uma doença causada pela formação de coágulos ou trombos nas veias do cérebro. A presença desses trombos dificulta a saída de sangue do cérebro e leva ao aumento da pressão intracraniana, com risco de isquemias, sangramentos, danos à visão e outras consequências graves.
Para entender melhor, precisamos relembrar alguns conceitos. Temos dois tipos de vasos sanguíneos: as artérias e as veias. As artérias levam sangue ao cérebro, carregando oxigênio e nutrientes. Após passar pelo tecido cerebral, o sangue retorna ao coração pelas veias e seios venosos. Os seios venosos são dobras da membrana que recobre o cérebro. São estruturas grandes que recebem sangue de veias menores. Dos seios venosos, o sangue vai para as veias do pescoço, como a veia jugular, e depois retorna ao coração. Quando temos a formação de trombos nas artérias, o resultado é o AVC isquêmico. Quando o trombo se forma nas veias, temos a trombose venosa cerebral, chamada também de TVC.
A TVC é um tipo diferente e raro de AVC – corresponde a menos de 1% de todos os casos.
Apesar de apenas cerca de 2 a cada 100 mil pessoas serem diagnosticadas com trombose cerebral anualmente, temos observado que a doença está se tornando mais comum nos últimos anos.
É uma doença que afeta principalmente pacientes jovens e mulheres e que pode provocar grande variedade de sintomas, desde dores de cabeça até coma e morte, como veremos a seguir.

Qual a causa da trombose venosa cerebral?
A trombose venosa cerebral é causada por combinações de fatores que juntos aumentam o risco de trombos nas veias, como trombofilias, uso de medicamentos e doenças associadas.
O nosso corpo vive em um equilíbrio de fatores que aumentam a chance de coagulação e fatores que impedem a coagulação. Quando esse equilíbrio falha e os fatores pró coagulação predominam, temos a formação de trombos.
Assim, dizemos que algumas pessoas têm predisposição a terem tromboses. Quando alguns “gatilhos” se juntam, a trombose pode acontecer. Em muitos casos, uma mesma pessoa pode ter mais de um fator de risco ou causa para a trombose
As principais causas da TVC são:
- Trombofilias (doenças que aumentam a coagulação)
- Uso de anticoncepcionais orais combinados (pílulas): é o fator de risco mais frequente em mulheres jovens
- Obesidade
- Câncer e alguns quimioterápicos
- Leucemia aguda
- Terapia de reposição hormonal
- Gravidez e puerpério
- Infecções, principalmente meningites e infecções na face e ouvido (otite)
- Doenças inflamatórias e autoimunes
- Infecção por COVID-19
- Traumas
Além dos fatores acima, o sexo feminino aumenta em até 3 vezes a chance de ter trombose. Acredita-se que o risco maior é pela presença de estrogênio, hormônio produzido naturalmente pelas mulheres e presente em certos tratamentos, como anticoncepcionais e reposição hormonal, e por fatores como gravidez e puerpério.
Em até um terço dos casos, não identificamos nenhum fator de risco para a trombose.
COVID-19 e a trombose venosa cerebral
Com a pandemia, descobrimos novas causas para trombose cerebral. A infecção por COVID-19 pode predispor trombose intracraniana e em outros locais.
Nesses casos, a trombose parece ser particularmente grave, com mortalidade muito maior que nos casos de TVC sem COVID-19. Felizmente é muito rara: calcula-se que acontece em 0,08% dos casos de COVID-19 internados.
Além da infecção, certas vacinas (com destaque para a fabricada pela AstraZeneca) podem provocar resposta imune do organismos e causar trombose e queda das plaquetas (trombocitopenia). Essa condição ficou conhecida como VIIT (trombocitopenia trombótica imune induzida por vacina). Pode acontecer até 6 semanas após a vacinação, mas são ainda mais raras: cerca de 1 a 4 casos por milhão de doses. Ou seja, o risco de trombose pela doença é maior que pela vacina.
A vacina da AstraZeneca não está mais disponível no Brasil.
Quais são os sintomas da trombose venosa cerebral?
A trombose venosa cerebral pode ter diferentes sintomas dependendo da sua extensão e gravidade. Apesar de ser bastante variável, um sintoma importante está presente em quase todos os pacientes (90%): dor de cabeça!
A dor de cabeça da TVC pode se iniciar leve e piorar de intensidade ao longo dos dias. Costuma ser difusa em todo o crânio e pode piorar ao tossir ou deitar, vir junto com náuseas e vômitos e ser muito forte. Uma característica que sempre chama atenção e deve levantar suspeita de trombose cerebral é o surgimento de dor de cabeça frequente em quem não costumava ter ou a mudança de padrão em quem já tem dor de cabeça.
Dor de cabeça nova ou que mudou de característica é um sinal de alarme para investigar trombose venosa cerebral e outras doenças.
Diferente do AVC isquêmico, na trombose cerebral, os sintomas podem se iniciar leves e piorar ao longo de dias ou semanas.
Os principais sintomas da trombose venosa cerebral são:
- Dor de cabeça, com ou sem náuseas ou vômitos e alterações visuais
- Borramento, ou embaçamento visual
- Papiledema
- Crises epilépticas (convulsões) generalizadas ou focais (movimentos repetitivos involuntários de parte do corpo)
- Sonolência
- Lentificação e dificuldade de pensamento
- Confusão mental
- Perda de força ou sensibilidade em algum lado do corpo
- Coma
Veja também: quando a dor de cabeça pode indicar uma doença mais grave
A trombose venosa cerebral é grave?
Sim, a trombose cerebral pode ser muito grave. Alguns casos de trombose podem evoluir com inchaço do cérebro (edema cerebral), morte de neurônios por isquemia e hemorragia cerebral.
Os sintomas e a sua gravidade dependem da localização e de quantos seios venosos e veias estão obstruídos, da idade do paciente, da velocidade de progressão de trombose, entre outras características.
Quando a trombose é extensa e persiste por muito tempo, o sangue com dificuldade de deixar a cabeça acumula-se, aumenta a pressão dentro do crânio e passa a comprimir outras estruturas, como nervos e o próprio cérebro.
Conforme a trombose se mantém, neurônios deixam de receber nutrientes e oxigênio e morrem, no que chamamos de infarto venoso. Pequenas veias podem se romper e causar AVC hemorrágico. Ambas as situações pioram o prognóstico, aumentando a chance de sequelas.
Diagnóstico de trombose venosa cerebral
O primeiro passo para diagnosticar trombose venosa cerebral é suspeitar. Por isso, a avaliação de um neurologista especializado é importante. Com base na história e nos sintomas, são indicados exames específicos que permitem ver o trombo dentro das veias ou a falha na passagem do sangue.
O diagnóstico muitas vezes é difícil e a experiência em trombose venosa cerebral faz a diferença. Avaliamos os sintomas, como eles apareceram e evoluíram, antecedentes pessoais e história familiar, além do exame físico neurológico. Com a suspeita clínica, partimos para exames complementares.
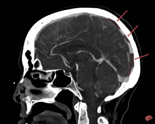
Vários exames de imagem podem detectar a trombose.
Em alguns casos, a tomografia de crânio simples já pode levantar a suspeita ao mostrar o trombo como uma lesão branca (que chamamos de hiperdensidade) na região onde deveria estar circulando sangue. Além disso, existem alguns padrões de sangramento ou isquemia que indicam a possibilidade de trombose.
Outra vezes, só é feito o diagnóstico com exames específicos, como a angiotomografia venosa e, principalmente, a angioressonância venosa por ressonância magnética.

Esses exames podem identificar o trombo e a falta de circulação de sangue na sua localização, como na imagem acima. Em casos de dúvidas, a angiografia cerebral por cateter pode ajudar, mas geralmente é realizada apenas em casos específicos.
Um diagnóstico importante que pode se confundir com a trombose cerebral é a hipertensão intracraniana idiopática. A avaliação clínica e os exames ajudam a diferenciar as duas condições, que têm causas e tratamentos diferentes.
Tratamento da trombose venosa cerebral
O tratamento da trombose venosa cerebral consiste principalmente na anticoagulação, que deve ser iniciada o mais rapidamente possível, idealmente por via endovenosa ou subcutânea e, após, trocada por via oral.

Como a trombose nada mais é do que a presença de trombos/coágulos dentro dos seios venosos e veias cerebrais, os medicamentos anticoagulantes atuam para desfazer os trombos e evitar sua expansão.
O atraso em iniciar o tratamento pode aumentar a gravidade da doença, dificultar a recuperação e aumentar a chance de sequelas.
Pelo seu efeito mais rápido e de melhor controle, o tratamento preferencialmente é feito com medicamentos injetáveis, como heparina e enoxaparina. Após alguns dias, trocamos por anticoagulantes orais, como varfarina ou outros mais novos, como dabigatrana.
O tratamento é iniciado em regime de internação, pois precisamos manter cuidado e acompanhamento de perto para observar a melhora, prevenir e tratar complicações.
Outros tratamentos para trombose cerebral
Casos muito graves podem ter piora progressiva sem resposta satisfatória à anticoagulação. Nessas situações, a trombectomia mecânica da trombose venosa pode ser uma opção.
Trata-se de um procedimento minimamente invasivo em que um neurorradiologista intervencionista retira os coágulos dos seios venosos por meio de cateteres. É um procedimento de exceção e, apesar da retirada dos trombos, a anticoagulação continua sendo necessária.
Outra situação grave é quando ocorre inchaço ou sangramentos extensos, com risco de lesões secundárias ou morte. Nessas situações, cirurgias para drenagem do sangramento ou para descomprimir o cérebro (craniectomia descompressiva) podem ser indicadas.
Quais as sequelas e como é a recuperação da trombose cerebral?
As sequelas da trombose venosa cerebral podem ser mínimas ou até nenhuma, dependendo do tratamento adequado e da extensão da trombose. Na maior parte dos casos, os pacientes têm boa recuperação.
No entanto, alguns casos são mais graves, com maior chance de deixar sequelas, como quem teve hemorragia ou isquemia cerebral como consequência da trombose. As sequelas podem ser fraqueza, alteração de sensibilidade de um lado do corpo, crises convulsivas, dor de cabeça e alteração de memória.
A gravidade dessas sequelas depende da própria gravidade da doença e a reabilitação com equipe multidisciplinar é essencial.
Estudos mostram que até 80% dos pacientes se recuperam total ou quase totalmente. A mortalidade na fase aguda é de cerca de 4%. Mulheres jovens geralmente têm bom prognóstico.
Também é importante identificar e tratar a causa da trombose porque isso também influencia na recuperação da doença e no risco de ter uma nova trombose no futuro.
Investigação das Causas e Prevenção da Trombose Venosa Cerebral
Como já falamos, a TVC pode ter várias causas que juntas levam a doença. Assim, após o cuidado inicial, é fundamental investigar os motivos que levaram a trombose a acontecer. O especialista em trombose venosa cerebral deve solicitar exames complementares para essa avaliação.
Com base nisso, a duração do tratamento e as estratégias para prevenir novas tromboses podem ser definidas.
Fatores transitórios ou reversíveis, como a gravidez e o uso de anticoncepcionais, podem ser revertidos e necessitam de anticoagulação por tempo limitado.
Por outro lado, pacientes que têm doenças crônicas como as trombofilias podem precisar de anticoagulação para sempre como forma de prevenir novas tromboses.
Fontes:
UpToDate
Diagnosis and Treatment of Cerebral Venous Thrombosis – Continuum Lifelong Learning in Neurology
Publicado originalmente em 29/08/2022. Atualizado em 06/05/2023.


64 comentários em “Trombose Venosa Cerebral – Sintomas, causas, tratamento e recuperação”
Muito bom, bem didática e compreensivo.
excelente informação,claro e abrangente, Drus abençoe.
Obrigada pelas informações muito claras.
Bom dia! Ótimo conteúdo, explicativo e de fácil entendimento.
Eu sou portadora de trombofilia. Diagnosticado,após investigação com hematologia, justamente, após sofrer uma trombose cerebral, pos cirurgia de joelho.
Sinto muita dor de cabeça. E infelizmente,estou sem acompanhamento médico, pois no SUS, não se encontra as especialidades, que necessito.
Ótima explicação!!!!
Obrigada….
Achei o texto bem didático e explicativo. Eu passei por uma TVP cerebral em fevereiro e estou em investigação de trombofilia. Tenho lido muitos artigos e até o momento esse foi um dos mais completos.
Teve perda de movimento e recuperou?
tive uma trombose cerebral, o trombo parou na sagital. Descobri a trombose por acaso fazendo uma ressonância da cervical. Aparentemente a circulação foi recanalizada. Só que depois que tive como que um desmaio é ao lado esquerdo formigou e não foi feito exames na época; passei a sentir diminuição da visão e da audição e asseio a ter tremores do lado esquerdo. O neuro chegou a diagnosticar Parkinson.
tive uma tvc em janeiro tomo anticoagulante mais to sentindo tanta tontura isso e normal?
Como está seu tratamento?
Estou buscando pessoas que possam compartilhar suas experiências.
Fui diagnosticada há 20 dias com TVC.
Eu tenho TVC parcialmente recanalizada desde 2021… tinha uma Fístula arteriovenosa que foi embolizada,e após tive Hipertensão Intracraniana, porém não faço uso dos anticoagulantes só anticonvulsivantes, pois o Neuro disse que tenho um problema, uma intoxicação a alguns e só internada posso fazer uso. Sinto muita dor de cabeça ainda .mas faço acompanhamento trimestral.
Dr. Luiz, a TVC pode estar interligada e questões ocupacionais? contribuída com os fatores de risco em ambientes hospitalares, assédios e etc?
tive TVC extensa em dezembro de 2022, fiquei 18 dias internada e um ano de tratamento com Marevan e outros medicamentos. Atualmente tomo ainda um medicamento para dor e um antidepressivo. Ainda sinto pontadas na cabeça e pressão com sensação de batimentos cardíacos no ouvido., isso todos os dias. Não sei se é sequela ou ainda nao fui curada totalmente Tenho consulta agendada com o neurologista em junho.
Comecei a sentir a pressão na cabeça a 4 anos e dor no crânio. Estes sintomas iam e vinham. Ficavam dias ou semanas,depois aliviaram por um bom tempo. Eu achava que era da artrite reumatóide e nunca procurei um neuro. Já tive trombose na perna esquerda e no pulmão. Agora voltou na cabeça com mais sintomas. A veia do pescoço lado esquerdo cresce e dá muita pressao6na veia e na na cabeça dor e pressão. As vezes é tanta que deito e parece que deitei numa pedra de tanto que dói o crânio. Já fiz todos os exames, só falta pegar o resultado deste último que o Dr indica que fiz tb. Muito grata Dr. Semana que vem levarei o último exame no meu médico.
muito obrigado pela matéria,bem esclarecedora.
infelizmente a 1 mês perdi minha cunhada com TVC, não teve o diagnóstico pelos médicos q atenderam ela e em 2 semanas ela faleceu e só soubemos da causa do obito quando foi para o SVO, pq nem a equipe do hospital sabia a causa. Triste e lamentável pq era uma jovem de 40 anos e com 2 filhas crianças morrer dessa forma por falta de profissionalismo e conhecimento desses profissionais que se formam de qualquer jeito.
Boa noite Dr. Luiz Fernando, acabei de ler o meu laudo da TC pela internet. E a unuca coisa que li diferente foi: Aparente hiperdensidade do seio reto. A critério clínico, correlacionar com angioTC venosa do crânio. O sr. Poderia me ajudar?
Fiquei msis elucidado.Apos voo longo cerca de 15 depois,repentinamente fiquei sem ver olho esquerdo.Fui a hospital duas hora depois.Diagnosticarsam tromo cerebral.Estou medicado,mas o receio é constante.Obrigado pelo artigo
oi , depois de 1 mês internada e quase 2 anos afastada , tive o resultado que fui acometida de tvc , fiz uma angiorressonancia que indicou tudo normal , estou com dificuldade na fala , vou conseguir me recuperar 100por cento?
Olá, tudo bem?
Tenho um amigo internado devido a TVC, está em uso de anticoagulante conforme prescrição na unidade hospitalar. Relata melhora da cefaleia, mas está em uso e tram*** [edited] uma ampola a cada 12h. Porém a visão continua turva sem melhora desde o inicio do tratamento. Com quantos dias acha possível obter melhora?
Boa tarde, fui diagnosticada com TVC e faço tratamento com anticoagulante (Pradaxa), após exames a causa mais provável é pós covid. Qual a chance de repetir após recanalizar? E se tiver covid novamente corro mais risco de ter outra TVC?
Boa tarde
Minha filha teve trombose cerebral a um ano atrás e ficou com a visão escura e até agora nada de melhorar tem algum tratamento específico para melhorar a visão
eu tive trombose cerebral, fui internada, tomei anticoagulantes injetaveis, hj tenho as veias do cérebro do lado direito mais finas. Faço uso de um remédio para controlar e previnir a enxaqueca, mas é muito forte… ficou como sequela. e cada cirurgia que eu fizer tenho q tomar injeção de anticoagulante p evitar ter novamente. mas no geral me recuperei bem.. só tenho algumas crises na semana.Bebam agua gente desidratacao tb da dor de cabeca.,
Dr. Luiz, muito obrigada pelo conteúdo enriquecedor. Aproveitando, gostaria de relatar um caso ocorrido comigo e caso o senhor queira dar a sua opinião como médico, eu agradeceria.
Sempre tive dores de cabeça desde muito nova. Mas nunca tive problemas, tomava um analgésico e passava. Mas daí depois que tive meu segundo filho, as dores de cabeça foram aumentando de intensidade e ritmo. Foram de leves a intensas em questão de 22 dias de parto. Já estou com essas dores desde julho do ano passado. Hoje, com quase 7 meses que tive meu filho, estou em busca de um diagnóstico.
Fui para médico neurologista, ela me passou TC. Fiz e deu edema cerebral. O médico que fez meu laudo recomendou fazer uma RM. Fiz e no laudo deu suspeita de trombose venoso. Mais uma vez o médico radiologista recomendou fazer outro exame, dessa vez uma angiorressonância. Irei amanhã para a neurologista para que ela me diga qual será o procedimento.
Será que mesmo que eu não faça a AngioRM por questões financeiras, o meu laudo seja realmente a TVC?
Desde já lhe agradeço por seu maravilhoso trabalho.
Olá Erica. Existem várias formas de diagnosticar a TVC. Em alguns casos, até a tomografia simples pode dar um suspeita com alta probabilidade, mas outros casos podem precisar de exames mais específicos. Não consigo dizer como seria no seu caso sem avaliá-la. Boa sorte e melhoras!
Doutor, minha esposa está internada devido uma TVC , irá começar o tratamento, minha preocupação, é que esse tratamento pode ocasionar novos sangramento, o tratamento também contra indicação com o caso mais grave ou melhor do tamanho do sangramento. Minha dúvida e a contra indicação de piorar. não existe outro tratamento? atenciosamente.
olá!
Fiz um avc isquemico e hemorrágico em novembro de 2011, até hoje faço uso de anticoagulante e anticonvulcionante. Preciso tomar até o fim da minha vida? Outra dúvida, depois desse episódio, fiquei com insônia crônica, tem relação com o avc? tem cura?
Olá, Dr. Luiz!
Tudo bem?
Primeiramente, obrigada pelo conteúdo!
Tive Trombose Venosa Cefálica em Outubro/2023 e em decorrência um AVCH e com quadros convulsivos. Na época a causa da TVC foi do uso do Anticoncepcional. Hoje estou em tratamento com a medicação Anticoagulante Pradaxa Etexilato de Dabigatrana e um anticonvulsivo Keppra Levetiracetam. Mas fui diagnosticada novamente com TVC mesmo seguindo as medicações. Não faço mais uso do Anticoncepcional desde a primeira ocorrência. Meus sintomas hoje são a dor de cabeça muito forte, hiper sensibilidade auditiva, falta de paladar e muita sonolência.
Poderia ser ainda por conta do uso do anticoncepcional?
Dr Luiz, boa tarde! Uma pessoa que tem TVC deve fazer acompanhamento com quais especialistas médicos? Neuro? Hematologistas ? Obrigada
Olá Betania, é essencial um neurologista para avaliar a resposta ao tratamento, se há complicações e para tratar os sintomas. O próprio neuro pode conduzir a investigação mas em alguns caso também é recomendado o hematologista ou até outros especialidades dependendo dos resultados.
olá Dr. Tem um mês que estou tratando de uma TVC bem extensa, e até hoje sinto bastante tontura e visão turva. Isso ainda pode melhorar ou pode ficar como sequela?
Tatiana, a melhora pode ser progressiva. Além disso, medicamentos podem aliviar esses sintomas.
Há 10 dias tive um TVC . Já me encontro bem mais disposta , mas minha visão está esquisita demais , não enxergo mais como antes , será que isso melhora DR???
Olá Kátia. Pode melhorar sim!
Bom dia!
Minha amiga tem trombose cerebral. já foi aí médico ficou uns dias internada com medicações e tmb fez retirada de sangue do cérebro( esqueci o nome q se dá a essa retirada)
agora mandaram comprar as medicações e tomar em casa. mas ela tem sangramento nasal, pelo ouvido, até os olhos sangraram já. e tmb pelo local na cabeça q ela fez a aplicação de injeção no cérebro, no hospital público quando vai com dor . O q fazer? lembrando q ela está em casa e comprando as medicações e enquanto não chega acaba indo em hospital público e toma uma medicação no cérebro. ( injeção)
como reabilitar um paciente com trombose cerebral aos 69 anos
Dr Luiz, a trombose cerebral pode ter como consequência a visão turva?
Esse sintoma pode passar com o tempo ou é permanente .
Olá Jeanine. A visão turva é muito comum na trombose. Pode melhorar completamente ou permanecer, dependendo do tratamento da própria trombose.
olá minha menina de 18 anos foi diagnosticada com TVC foi internada e continuou tratamento em casa , após 15 dias houve outro episódio internada novamente foi localizado outro trombo , nas 2 situações ela se recuperou rapidamente da movimentação e confusão mental , é normal ocorrer mais de uma trombose? risco aumenta muito da recuperação?
Raquel não é normal ter nenhuma trombose. Ter mais de uma reforça a importância de investigar o motivo e repensar o tratamento para prevenir que aconteça de novo.
tenho muita dor forte de cabeça é latejante demais nem o ibuprofeno de 600ml adianta e ninguém fala o que é
olá bom dia fiz uma tomografia do crânio e uma angiotomografia venosa e arterial e o
meu neurologista diagnóstico como veias envelhecidas e me passou um tratamento com o uso torval e Ass mas estou com medo de tomar por que essa medicação é pra quem tem epilepsia me ajudar por favor e esclarecendo melhor o que é veia envelhecidas e se é esse mesmo o tratamento correto.
estou em tratamento de trombose venosa ainda tenho uma dorzinha de dente cabeça pressão na cabeça já faz três meses que estou tomando anticoagulante mais por quanto tempo vou ter essas dor de cabeça
Texto claro, objetivo e muito didático.
Parabéns, meu amigo! Você presta um verdadeiro serviço à comunidade!
Obs: me empresta a imagem para uma aula? =)
Obrigado!! Pode usar todas!!
to internda a duas semanas com trobose, não comecei com nenhum anticoagulante e sinto muitas dores de cabeça desde a tomografia ja se viu a trombo e até agora nada é feito as dores só aumentam e eu piorando a cada dia , estou em recife na restauração minha cabeça inchou na testa e tudo .
Meu irmão , teve TVC , teve que fazer cranioctomia, faz 6 meses , está na reabilitação, para voltar os movimentos e memória ! Faz uso de heparina diariamente!
O caso dele foi bem grave , mesmo sendo jovem , 29 anos e ser homen !
Obrigada pela informações dr !
Minha irmã está com TVC , está tomando anticoagulantes,já tem três meses,só que as dores não melhoram, hoje ela teve uma dor muito forte será que os anticoagulantes não estão fazendo efeito?
eu tive uma TVC em dezembro de 2023 fiquei uma semana internada tomando anticoagulante, o diagnóstico foi a troca de anticoncepcional. Sempre tive problemas com os ovários, como cistos e muita dor na época da menstruação, esse ano descobrir que estou com endometriose e a gineco passou dienogestel pra tratar. gostaria de saber se posso tomar essa medicação? ou se há muita possibilidade de eu ter novamente a TVC ?
Minha filha de 5 anos está internada a um mês,foi diagnosticada com Tvc, os médicos estão fazendo todos os exames para encontrar a causa e até o momento todas as doenças auto imunes deram negativo.
Estão com tratamento no clexane intramuscular,e efetuando punsão lombar periódicamente para aliviar a pressão que causa na cabeça ocasionando papiledema.
estive internada dia 26.12. fiz tomografia e 2 ressonância. diagnostico trombose de seio venoso?
tive alta e medicada com aas, atorvastatina e betaistina 3 X ao dia.
marquei neuro e oftalmo pro dia 08.01.
isso é um tempo demorado?
visao dupla demais
sou diabética
alguma orientação?
Tive uma tvc em agosto de 2023 e faço o uso de anticoagulante, porém ontem na academia quando aumentei um peso de um exercício eu senti uma dor muito forte na região do trombo e minha cabeça está doendo, devo me preocupar?
boa noite Dr. meu nome é Hélder, a minha esposa de 45 anos foi hoje diagnosticada com tvc, ela já se queixava de dores de cabeça a mais de 4 meses, íamos aos centros de saúde, a primeira vez disseram q a razão de dores de cabeça era anemia megaloblástica, e receitaram cianocobalamina, e as dores melhoram, depois de acabar a medicação as dores voltaram, voltamos outras vezes e a ultima vez 30/03/25 receitaram naproxeno e lhe deram sorro, e estava fisicamente estável ( fora as dores de cabeça)….hoje 31/03/25 ao acordar ela já não conseguia mexer o lado esquerdo do corpo, levei ela as urgências. Dizem que os exames feitos a cabeça, revelam que ela está com tvc, e ficou internada. A minha pergunta é, ainda é possível combater os coágulos e voltar ao estado normal de mobilidade, mesmo sendo que ela já estava sem poder se movimentar antes de início da medicação que vai receber?
Sinto muito Helder. O tratamento permite sim combater os coágulos e tem boa chance de melhorar a mobilidade, mas cada caso é único.
Olá Dr. Luiz Fernando!
O seu artigo é ótimo!
Recentemente fui diagnosticada com uma TVC, fiz vários exames e o resultado deu que a coagulação está normal.
Estou tomando betaistina e as tonturas passaram. No entanto, continuo com a visão embaçada e dor de cabeça, principalmente ao deitar, sempre do mesmo lado e alivia quando pressiono. Também estou tomando venlafaxina pra enxaqueca, mas essa dor não é de enxaqueca. O médico só disse pra eu tomar 3L de água por dia. É isso mesmo?
Olá Carol. Depois da TVC, pode ficar uma dor de cabeça por aumenta de pressão intracraniana, que precisa ser tratada. Sugiro discutir isso com seu médico.
Gilson. sou enfermeiro atuei na neurocirurgia funcional no IPQ HCFMSP. Por mais de 30 anos em minha época não tinha Tomografia nen Ressonância magnética disponível no SUS…..FOI MUITO esclarecedor o artigo… parabéns professor.
Eu tenho 47 anos, tive uma trombose cerebral aos 35 anos.
Foram muitos dias de luta pela vida e venci!
Eu fui operada pela equipe do Dr Jorge Pagura no São Luiz, eu serei eternamente grata a essa equipe.
Dei entrada no hospital com uma dor insurportável na região frontal da cabeça, visão totalmente turva, mas consciente até a consulta de emergencia, da sala da tomografia em diante eu já não lembro muita coisa, mas fiquei 48h sedada e aguardando para fazer a drenagem, porém não teve jeito e precisei operar.
Além da dor insuportável na cabeça, fiquei com a visão turva por muito tempo, não conseguia ver TV, o rosto dos meus filhos, não foi nada fácil, mas estou aqui viva e perfeita.
A única sequela é a visão, perdi a visão periférica bilateral, canto interno da visão lado esquerdo, externo do lado direito e inferior bilateral, reduzindo o campo de visão.
Mas com adaptação eu hoje tenho uma vida normal, trabalho, não dirijo mais em estrada, mas dentro da minha cidade eu me viro bem!
O meu conselho para quem acabou de ter a trombose e afetou a visão…procure por fisioterapia óptica ou ocular.
Eu sou fisio e posso afirmar que faz muita diferença, porém não pode demorar.
Um grande abraço e positividade sempre!
Boa Tarde Dr. Luiz Fernando
Meu pai teve duas vez TVC, a primeira em 2020 ( com 71 anos de idade) e a segunda em 2024 (com 76 anos)
A primeira vez ele teve uma dor de cabeça muito forte, já na segunda vez, o único sintoma foi TONTURA, até pensamos que pudesse ser labirintite, mas era TVC.
Depois dessa segunda TVC ele ficou bem, mas de um tempo para cá, começou a ter muita TONTURA (que chega até cair ) e as vezes reclama como se tivesse uma barulho na cabeça que incomoda.
Fez exames recentes , não diagnosticaram nada de anormal, mas continua com bastente tontura.
Essa tontura pode ser uma sequela ? Se sim tende a melhorar ?
Permita-me o Dr. Luiz Fernando recomendar-lhe que em várias frases ele utilizou a palavra CHANCE; não há coerência em casos onde só deveria ser utilizada a palavra RISCO, como: Risco de trombose, risco de AVC, risco de piorar. Chance tem o único sentido de melhorar, de não sofrer AVC, de se sair bem, etc.